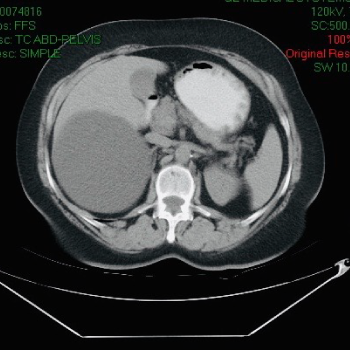
Quistes en el Hígado
Los quistes en el hígado son los tumores benignos muy frecuentes. Son bolsitas con agua que salen dentro del hígado. La mayor parte de las veces no producen ningún problema, pero en otras ocasiones los quistes en el hígado pueden ser por cáncer, Infecciones o estar producidos por parásitos.
Por lo que es muy importante, que en caso de que tengas un quiste en el hígado acudas a consulta médica con un especialista en cirugía de hígado, conductos biliares y páncreas, para un diagnóstico definitivo y su tratamiento correspondiente.
“Todos los procedimientos quirúrgicos son realizados en quirófanos de hospitales certificados”.

Solicita más información
¿Necesitas un cirujano militar certificado? Soy el Dr. Marco Loera especialista en operaciones del hígado, páncreas, vesícula y hernias. Soy Cirujano certificado para ejercer la Cirugía de Trasplante en México.
.
Hospital Angeles Santa Monica
Temístocles 210 Torre de Consultorios piso 2 número 212 (Entre Av. Homero y Av. Horacio), 11570 Miguel Hidalgo, CDMX.
Citas al 554 034 5571

Dr. Marco Antonio Loera T.
Cirujano Militar Gastroenterólogo
Si buscas un cirujano militar certificado, estoy especializado en operaciones del hígado, vesícula biliar, páncreas y hernias. Además estoy certificado por el Consejo Mexicano de Cirugía General y Cirugía de Trasplante.
